Почему образуется вывих тазобедренного сустава Вывих головки эндопротеза тазобедренного сустава чаще всего случается из-за влияния следующих факторов: Возраст. У пожилых пациентом больше вероятность травмы искусственного импланта, который был…
подвывих
Основные признаки и классификация У каждого вида повреждения существуют свои симптомы: Вывих голеностопа характеризуется сильной болью, видимой деформацией стопы и нарушением функций (невозможно встать на ногу и ходить);…
Почему происходит травма? Сам плечевой сустав состоит из трех частей: суставная головка плечевой кости; суставная впадина ключицы; суставная впадина лопатки. Впадина ключицы не имеет связи с плечевой костью,…
Что такое подвывих нижней челюсти В большинстве случаев такой подвывих нижней челюстии считается повреждением хронического характера и требует обязательного обращения к специалистам для обследования и помощи, чтобы предотвратить…
Диагностика При подозрении на подвывих шейного позвонка, первым делом необходимо пройти консультацию у невролога. Далее следует рентгенография, магнитно-резонансная томография и компьютерная томография. Два последних исследования помогают оценить состояние…
Что такое подвывих сустава - крупный плод или ягодичное предлежание, вызывающие смещение в суставах из-за нарушения анатомических норм расположения ребенка в матке;широкое пеленание – применяют в целях профилактики…
Основные причины Основные причины вывиха любого шейного позвонка можно условно разделить на категории: патологические и травматические, приобретенные и врожденные. Патологический подвывих (сублюксация) происходит по причине опухолевого процесса в…
Что такое подвывих шейного позвонка Подвывих шейного позвонка – это патологический процесс, при котором происходит частичная утрата взаимосвязи двух расположенных поблизости позвонков. Преимущественно встречается поражение атланта (С1). Более…
Основные рентген-симптомы патологии костей и суставов Диагностику патологии облегчает тот факт, что больной может точно указать врачу время получения травмы, поскольку она не пройдет незамеченной. Вывих или подвывих…
Как и почему появляется вывих колена Вывих – это смещение суставных поверхностей одной или нескольких костей с нарушением их нормального анатомического взаиморасположения и целостности капсульного и связочного аппарата…
Причины возникновения вывиха хрусталика. Вывих хрусталика глаза у человека (эктопия) встречается двух видов. Полное нарушение нормального положения называется вывихом, частичное — подвывихом. Причины появления делятся на две группы:…
Механизм возникновения подвывихов Из-за физиологического строения черепа возможен только подвывих нижней челюсти. Она – единственная его подвижная часть. Движение нижней челюсти в трех различных направлениях обеспечивается височно-нижнечелюстным суставом….
Что такое ротационный подвывих атланта? Ротация в переводе с латинского означает «круговое движение», «вращение». Следовательно, правосторонний или левосторонний ротационный подвывих атланта — это незначительное асимметричное смещение суставных поверхностей кольцевидного С1 относительно оси…
Причины перелома с подвывихом Отдельно стоит выделить спортивные травмы с приложением добавочного внешнего усилия, придающего определенное положение стопе в момент травмы: например, стопа может находиться в положении отведения/приведения, супинации/пронации. Переломы голеностопа…
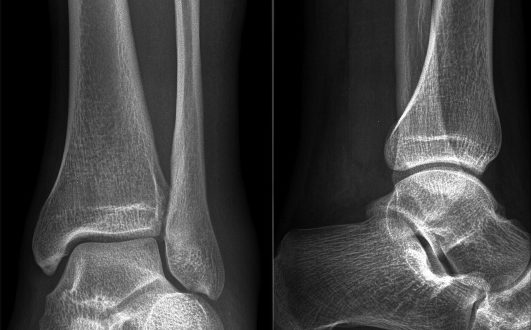
Что такое вывих голеностопа и его степени с фото Выполняя основную функцию опоры всего тела при ходьбе, голеностопный сустав – сложный механизм, соединяющий стопу и кости голени. Берцовые…
Почему происходит травма? Вывих головки эндопротеза тазобедренного сустава чаще всего случается из-за влияния следующих факторов: Возраст. У пожилых пациентом больше вероятность травмы искусственного импланта, который был установлен в…
